Ấn bản tháng 3-4/2019 của Tạp chí Gan lâm sàng và Thực nghiệm (JOURNAL OFCLINICALANDEXPERIMENTAL HEPATOLOGY) mới đây đăng tải bài viết “Giảm béo đến chết: Herbalife - Suy gan cấp tính gây tử vong - Kim loại nặng, hợp chất độc hại, chất gây ô nhiễm, vi khuẩn và tác nhân hướng thần trong các sản phẩm được bán ở Ấn Độ”.
Uống 03 sản phẩm Herbalife liên tục trong 02 tháng và... tử vong ?
2 trong 3 sản phẩm Herbalife cô gái xấu số 24 tuổi đã sử dụng Theo bài báo này, trường hợp bị suy gan cấp tính là cô gái 24 tuổi ở Ấn Độ, đã uống 03 sản phẩm Herbalife trong khoảng thời gian 02 tháng. Cô sử dụng hàng ngày, bao gồm thức uống Herbalife Formula 1 Nutritional Shake Mix; Herbalife Personalized Protein Powder; và Afresh Energy Drink. Cô gái đã uống bộ 03 sản phẩm này theo hướng dẫn 2 lần mỗi ngày.

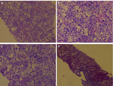
Sinh thiết gan cho thấy (A) kiến trúc gan bị biến dạng với nhiễm mỡ nặng với thoái hóa bóng, hỗn hợp lymphocytic và bạch cầu trung tính; (B) giao diện viên gan cùng với ứ mật nội sọ; (C) viêm đường mật (haematoxylin và eosin stain, 20) và (D) hoại tử cầu nối màng ngoài tim (Masson trichrom stain, 20)
Tạp chí Gan lâm sàng và Thực nghiệm đăng tải, sau khi uống sản phẩm Herbalife, cô gái giảm dần cảm giác thèm ăn trong một tuần, sau đó là vàng da và biểu hiện ngứa thoáng qua. Cô gái được lấy máu làm xét nghiệm và phân tích tại thời điểm này. 12 ngày sau, vàng da trở nên tồi tệ hơn và cô được đưa đến cấp cứu trong tình trạng não gan (hôn mê gan) độ 3. Kết quả sinh thiết gan cho thấy, cô gái bị viêm gan liên sườn, viêm đường mật, bong bóng cấp độ nặng, nhiễm mỡ và ứ mật trong gan. Cô gái nhanh chóng được chuyển đến cấp cứu ở một trung tâm cấy ghép, nhưng tử vong ngay sau đó.
Sản phẩm Herbalife chứa kim loại nặng, độc tính cao...
Theo Tạp chí Gan lâm sàng và Thực nghiệm, dù nhân viên y tế không thể lấy mẫu sản phẩm Herbalife mà cô gái xấu số tử vong đã dùng từ gia đình, nhưng đã lấy sản phẩm tương tự từ câu lạc bộ dinh dưỡng, nơi bán các sản phẩm Herbalife, thậm chí các chuyên gia còn lấy 08 mẫu sản phẩm Herbalife được bán trực tuyến trên internet và kết quả phân tích cho thấy, đều chứa kim loại nặng, các hóa chất độc hại và chất hướng thần cũng như bị nhiễm khuẩn.
Các trường hợp suy gan tương tự liên quan đến sử dụng sản phẩm Herbalife cũng được báo cáo ở Israel, Tây Ban Nha, Thụy Sĩ, Iceland, Argentina và Mỹ. Tỷ lệ nhiễm độc gan ước tính là 25-30 người/100.000 người tiêu dùng sản phẩm Herbalife. Một loạt các trường hợp xảy ra gần nhất được biết đến là từ năm 2015.
Trước báo cáo này của Ấn Độ, 7 báo cáo khác trên thế giới (Israel, Thụy Sĩ, Argentina, Mỹ, Iceland, Tây Ban Nha) từ năm 2000 đến 2015 ghi nhận 53 trường hợp bị suy gan liên quan đến việc sử dụng sản phẩm của Herbalife. Trong số các báo cáo trên, nhóm nghiên cứu của Elinav ở Israel ghi nhận từ năm 2002-2004 có 12 ca bệnh (11 nữ, 1 nam) cũng bị suy gan cấp tính do sử dụng sản phẩm của Herbalife trước khi mắc bệnh.
Rất nhiều kim loại nặng được tìm thấy cũng như độc tố không được công bố trong các sản phẩm của Herbalife do nhóm nghiên cứu này phát hiện từ các sản phẩm của HerbalifeMỗi người trong số đó sử dụng ít nhất là 6 sản phẩm và nhiều nhất là 17. Tất cả bệnh nhân trên đã ngưng sử dụng sản phẩm của Herbalife sau khi phát hiện suy gan và được điều trị. 11 người trong số họ khỏi bệnh hoàn toàn sau đó. Một người còn lại bị suy gan nặng hơn do nhiễm hepatitis B virus và không qua khỏi sau khi cấy ghép gan.
Các chuyên gia y tế cũng cho rằng, không chỉ kim loại nặng, mà có thể các thành phần hoá chất đã gây tổn hại gan bệnh nhân. Báo cáo của các chuyên gia y tế từ Ấn Độ cũng khẳng định, sản phẩm Herbalife chứa chất độc hại nguy cơ ảnh hưởng tới sức khỏe người tiêu dùng, đồng thời cảnh báo những nước có lượng người sử dụng Herbalife nhiều như Việt Nam và Campuchia cần cẩn trọng khi mua và sử dụng.
Cụ thể, các thành phần bổ sung dinh dưỡng được cho là từ thảo dược mà phía Herbalife quảng cáo là "tốt cho sức khỏe" thực chất không thể xác định được, vì thế hoàn toàn có thể nghi ngờ là "có hại cho sức khỏe người tiêu dùng".
Trước đây, năm 2016, Herbalife Việt Nam từ bị Cục An toàn thực phẩm xử phạt 25 triệu đồng do quảng cáo sản phẩm có nội dung không phù hợp với nội dung được cơ quan có thẩm quyền xác nhận.
Cũng trong năm 2016, Công ty Herbalife Việt Nam còn bị Cục Quản lý Cạnh tranh (Bộ Công Thương) xử phạt 50 triệu đồng do bán hàng đa cấp tại các tỉnh, thành phố khi chưa được địa phương thông báo tiếp nhận.
Năm 2018, Công ty TNHH MTV Herbalife Việt Nam bị xử phạt 140 triệu đồng vì những vi phạm trong hoạt động bán hàng đa cấp.
Công ty Herbalife Việt Nam bị xử phạt đối với các vi phạm: Quảng cáo đưa thông tin gây nhầm lẫn cho khách hàng về công dụng của sản phẩm; Không thường xuyên giám sát hoạt động của người tham gia bán hàng đa cấp để bảo đảm người tham gia bán hàng đa cấp thực hiện đúng quy tắc hoạt động.
Tài liệu tham khảo :
1. Philips CA et al., 2019. Slimming to the Death: Herbalife®-Associated Fatal Acute Liver Failure-Heavy Metals, Toxic Compounds, Bacterial Contaminants and Psychotropic Agents in Products Sold in India. J Clin Exp Hepatol. 9:268-272.
2. Zambrone FAD, Correa CL, Amaral LMS, 2015. A critical analysis of the hepatotoxicity cases described in the literature related to Herbalife products. Braz J Pharm Sci. 51:785–796.
3. Elinav E, Pinsker G, Safadi R, et al. Association between consumption of Herbalife nutritional supplements and acute hepatotoxicity. J Hepatol. 2007;47:514–520.
Chúng tôi sẽ tiếp tục cập nhật thông tin liên quan đến thành phần và chất lượng sản phẩm của Công ty TNHH MTV Herbalife Việt Nam./.